Case Studies at
Lavant Dental Centre
01730 265666
Mon-Fri
9.00am to 5.30pm
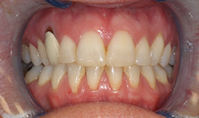
Case Study 1 - C Fast
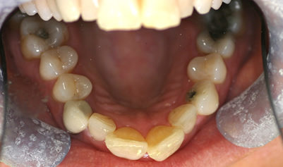
Case Study 2 - C Fast
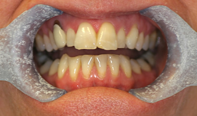
Case Study 3 - C Fast
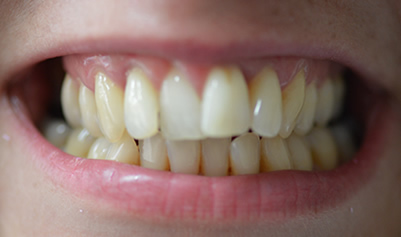
Case Study 4 - C Fast
Case Study 5 - C Fast

Facebook
Twitter